private macular hole surgery cost
post surgical follow up a three months after treatment with ppv download scientific diagram From Pinterest

vitrectomy patients the american society of retina specialists

managing the macular hole with concurrent retinal detachment retina today

epiretinal membrane causes and treatment

guide to vitrectomy costs timelines more nvision eye centers

macular hole eye specialists sydney eye specialists ophthalmologists

innovations in macular hole repair eyedolatry

ilm staining with icg in macular hole surgery a the green stained download scientific diagram

retinal physician macular hole surgery

post surgical follow up a three months after treatment with ppv download scientific diagram

medicina free full text infracyanine green vs brilliant blue g in inverted flap surgery for large macular holes a long term swept source oct analysis html

novel approach to traumatic macular hole
managing challenging macular holes american academy of ophthalmology

macular hole surgery the retina group

experimental treatment for macular holes opts for eye drops over surgery uchicago medicine

a field guide to retinal holes and tears

retinal physician macular hole surgery
1

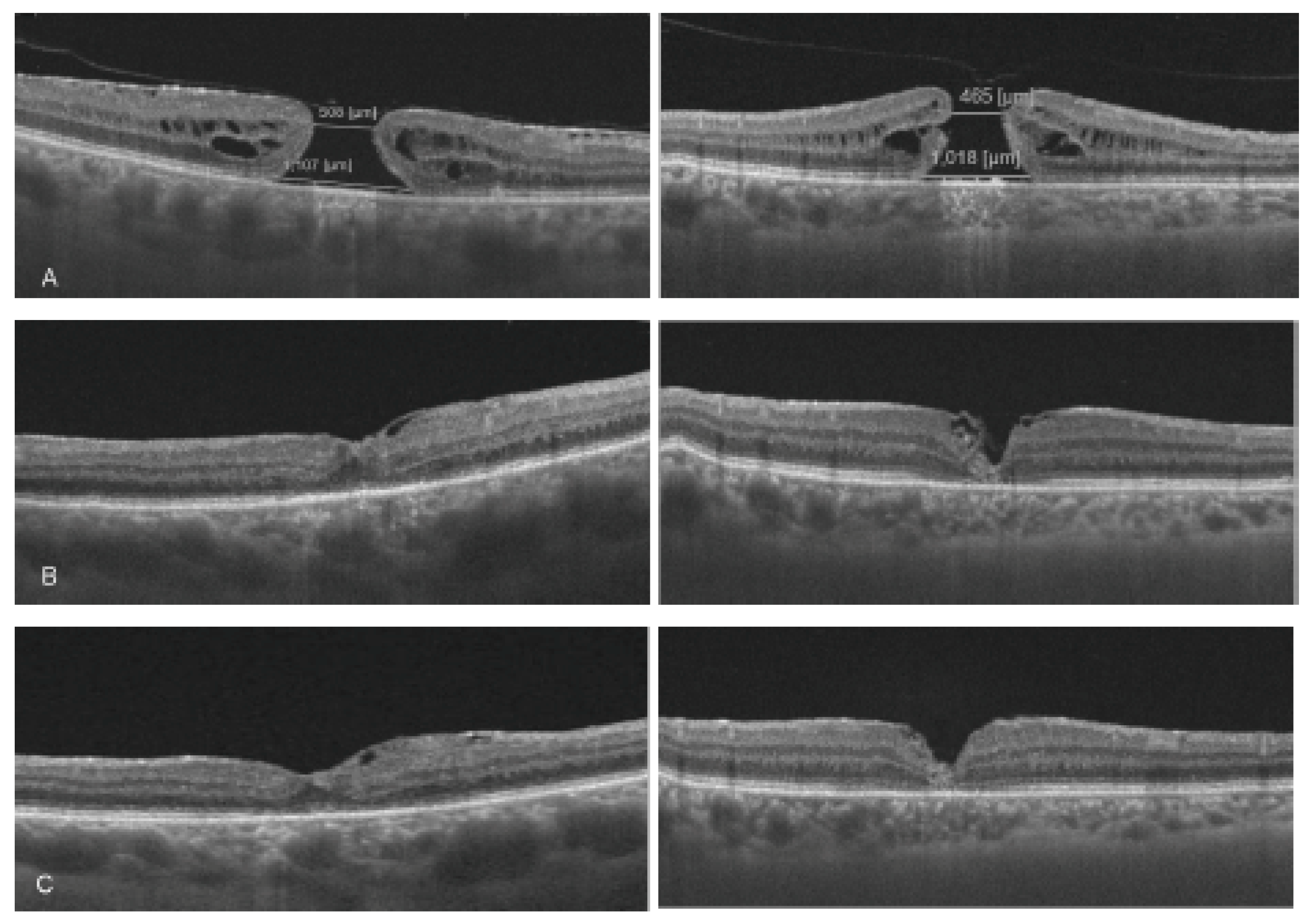
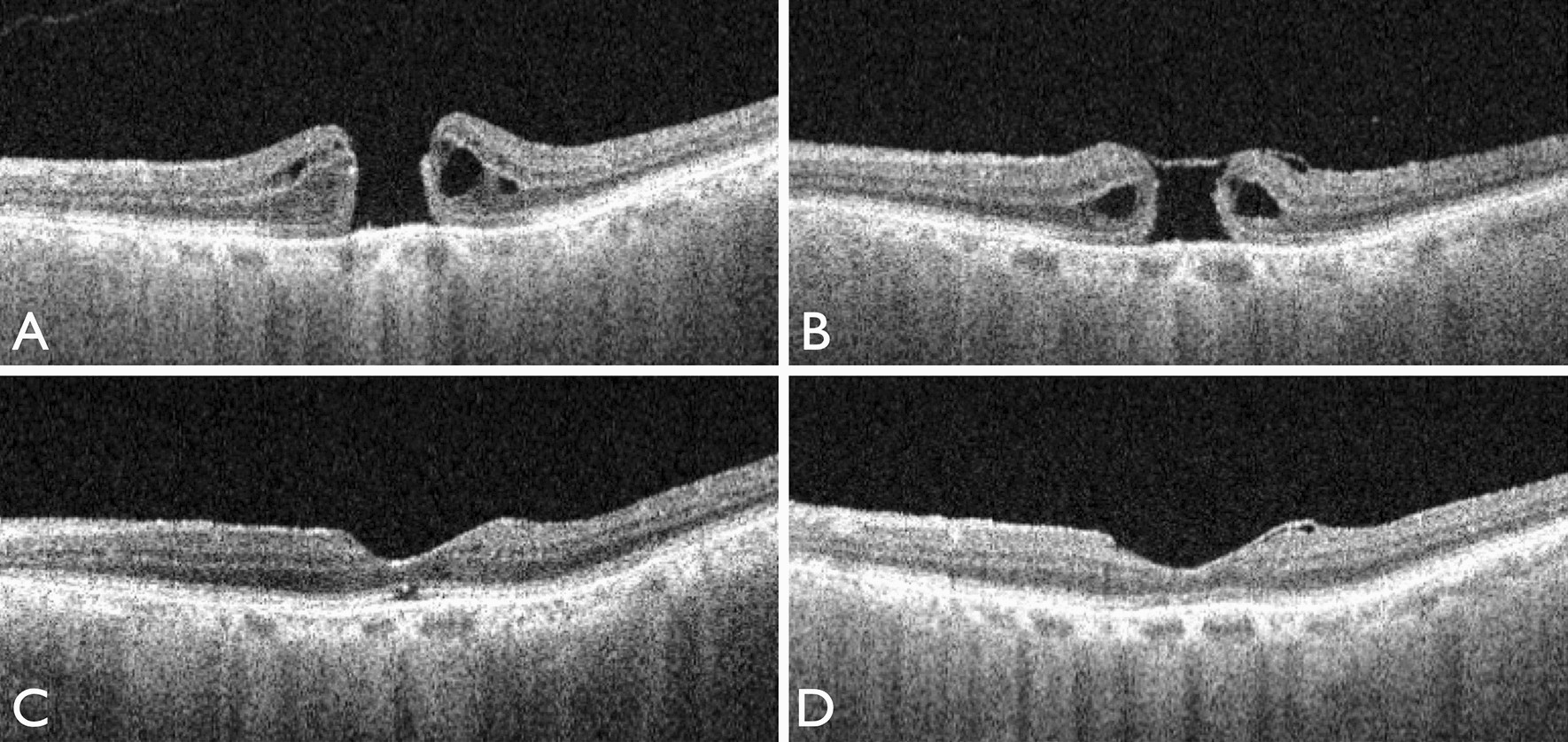
contractility of temporal inverted internal limiting membrane flap after vitrectomy for macular hole scientific reports

using a ham plug for large macular holes

figure 2 british journal of ophthalmology

facedown showdown

surgery information the retina group

how to manage complex macular holes

novel approaches to pvr rp and macular hole surgery

facedown or not facedown retina today

two months after the macular hole surgery darker fluid accumulation is download scientific diagram

one month after the macular hole surgery a fundus photograph of the download scientific diagram

vitrectomy with cutter only ilm peel during full thickness macular hole surgery retina today

macular hole causes symptoms and treatments

part one introduction to surviving recovery from macular hole surgery visionaware

retinal physician current approaches to macular hole surgery and patient management

macular hole surgery tanner eyes

types of retinal detachment

what you should know about macular holes eye disease information and eye surgery louisville eye surgery surgery eye health

novel approaches to pvr rp and macular hole surgery

use of autologous blood in macular hole surgery retina today

innovations in macular hole repair eyedolatry

macular hole treatment surgery mocualr hole repair melbourne

microbubble retention and failed macular hole surgery ophthalmic surgery lasers and imaging retina






